Pelvic Congestion Syndrome Treatment (PCS) in Cary, NC

A common problem among women, chronic pelvic pain can stem from a number of different causes. One such cause is Pelvic Congestion Syndrome, or PCS. Other less common but more recent names for the pain are “Pelvic Venous Insufficiency” or “Pelvic Phlebitis”. 

What is Pelvic Congestion Syndrome?

If you’re experiencing chronic pain in your pelvic area, it can be due to an issue with your veins. Due to a number of different factors, the veins in a woman’s lower abdomen may not function as well as they should. When this happens, veins in the pelvis can enlarge and change shape, very similar to varicose veins. PCS often occurs in women who have recently experienced pregnancy and can become worse with each subsequent pregnancy.

Symptoms of PCS

The most obvious symptom of PCS is pain in the pelvic region that lasts for more than a few months. This classifies the pain as chronic. In addition, you may experience the following:
  • Dull pain while standing or sitting in your lower back and abdomen.
  • Irritable bowel and/or bladder.
  • Bulging veins in the pelvic region.
  • Increasing pain while standing, walking, and having sex.
  • Increased pain during periods.
  • The sudden urge to urinate at random times.

Although you may experience some or all of these symptoms, there’s a chance that you will not. Please schedule an appointment with your doctor if you are experiencing any pain that could be related to PCS.

Causes and Diagnosis of PCS

If your doctor feels that you are experiencing symptoms of PCS, they will then do a number of tests to rule out any causes. These tests can include urine tests, blood tests, ultrasounds, x-rays, CT scans, pelvic venography, and more based on your health. Because pelvic pain is not always easy to diagnose, it’s important to go through these tests to confirm the diagnosis and get you on the path to recovery.

While the majority of women diagnosed are between the ages of 20-45, PCS can affect any age of woman. There is no root cause of PCS, but there are many things that can contribute, including:

  • Hormonal abnormalities
  • Multiple previous pregnancies
  • Weight gain
  • Polycystic ovaries

Treatment of PCS

If you are diagnosed with PCS, your treatment options will be discussed up front with you by your doctor. The most common treatment option is ovarian vein embolization, which can help alleviate symptoms and pain. If you are diagnosed with PCS, your treatment options will be discussed up front with you by your doctor.

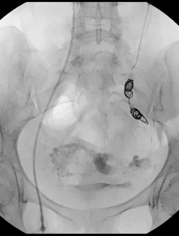
The most common treatment option is ovarian vein embolization. This outpatient procedure performed in our office involves blocking the abnormal blood flow in the pelvis by using x-ray guidance to navigate catheters through the veins and deposit sclerosants and metal coils. The veins will scar down, deflating the dilated, abnormal veins, and relieving symptoms. Patients go home in a few hours and recover completely in 1-2 days. Most patients have complete relief of symptoms within 4-6 weeks. 

Contact Vascular Tree today to learn more about treatment options for PCS.

before Treatment of PCS
Before Treatment of PCS
after PCS treatment
After Treatment of PCS

Schedule a PCS Consultation in Cary

If you’re struggling with the discomfort of pelvic congestion syndrome, the team at Vascular Tree in Cary, NC is here to provide answers and relief. Call us at 919-378-1448 or request an appointment online. Our specialists will walk you through your treatment options and help you regain comfort and quality of life.

Vascular Tree logo

This content has been reviewed by the experienced vascular specialists at Vascular Tree.